
Inflammatory Breast Cancer — diagnosis is based on the clinical picture that accompanies the underlying cancer
In the days of “surgery alone” for breast cancer, the diagnosis of inflammatory carcinoma was a death sentence, usually in the range of 6 months. But then, reports emerged of 5-year survivors if chemotherapy was used up front, then surgery, then radiation.
And this was the hope in 1994 when I met Ruth (pseudonym), a 34-year-old who was in her first trimester of pregnancy when she presented with classic inflammatory breast cancer. Skin punch biopsy was performed, along with random core needle biopsies that confirmed the diagnosis. Then she underwent chemotherapy, beginning in the 2nd trimester, stopping prior to delivery of a healthy boy. One week after delivery, I performed modified radical mastectomy, which was then followed by radiation therapy.

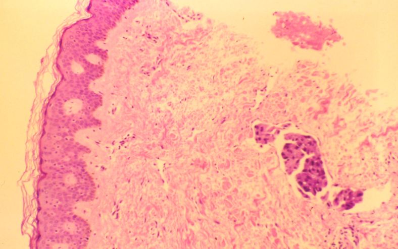
Skin punch biopsy — skin surface to the left, with a focus of dermal lymphatic invasion on the right. This finding on pathology is not a requirement for the “inflammatory” designation, but is frequently present.
Pathology on the mastectomy specimen was not encouraging. Although the breast had responded both clinically and with only focal areas of invasion on microscopy, she still had 16 of 24 nodes positive. The outlook became even more grim when, one year later, I excised a nodule in her mastectomy scar, and recurrent cancer was confirmed.
What do you tell the patient then regarding expectations for her future?
Younger physicians might not be aware that the standard of care for centuries was to tell the patient a lie, never disclosing that cancer was present. Plato said (in Greek, of course): “A lie may prevent the occurrence of undesirable views, beliefs or actions.” Although not covered in the Hippocratic Oath, the writings of Hippocrates place him in the same camp as Plato. And this was the prevailing practice for a long, long time, based on the notion that the patient’s attitude was critical for even a temporary recovery. Thus, false hope reigned supreme over the truth to give the patient the best possible odds.
In 1847, the AMA Code of Ethics followed suit by directing physicians to avoid making “gloomy prognostications to the patient,” (oddly, however, the physician was instructed to be completely honest with friends and relatives). “Only if absolutely necessary should the truth be given to the terminal patient.” The authority figure that led to continuation of this policy was Thomas Percival (1740-1803), “codifier of medical ethics,” whose influence extended to the AMA from beyond his grave in the U.K.
This practice of false hope was not without its detractors, however. One Rev. Thomas Gisborne wrote that physicians should be honest with patients on the grounds of conscience and the observation that “lies fail to convince patients anyway.” Instilling hope should be encouraged only “as far as truth and sincerity will admit.”
As for William Osler, apparently, he waffled on the controversy, claiming that the choice about blunt truth vs. false hope depends on context.
Remarkably, this (innocently deceptive) practice continued in the U.S. well into the 1950s and early 1960s, confirmed through several large surveys wherein the majority of doctors were still not honest with patients after a diagnosis of cancer. The rapid and dramatic shift to honesty came in the late 1960s and early 1970s in the U.S. where repeat surveys using the same questions now revealed nearly all physicians were honest about a diagnosis of cancer.
But the U.S. is not the norm. Many countries continue this deception as standard practice today, and a study in U.K. revealed that 37% of physicians still sometimes withhold the true diagnosis (I’m taking this from a 2006 reference, so it may no longer be the case – after all, it’s hard to imagine that in our current era where patients can access their own lab results online, that any deception still occurs in those countries with electronic medical records). Still, for many around the world, this practice of hiding the truth from the terminally ill continues, unchanged from Plato’s time.
At the other extreme, neurosurgeons (and occasionally, all physicians) are notorious for “hanging crepe,” that is, presenting a worse picture than probable, for a variety of reasons, not the least of which is the gross inability to predict the human brain (and many other diseases as well). And, of course, any outcome better than expected generates special praise for the user of the crepe-hanging approach.
As it turns out, breast cancer can be a lot like a head injury or a brain tumor when trying to predict the future.
For Ruth, my patient of 1994-1996, I felt the prognosis was grim, and I can’t recall how I couched the chance of survival, or if I avoided it altogether, leaving the topic for the medical oncologist. But this is my guess: I probably gave her a slightly optimistic outlook, while saying something like, “5-year survival is becoming more the norm and some patients are actually making it to 10 years.”
If I recall the actual numbers from the mid-1990s, I believe it was something like 5-10% were making it to 10 years if there were no distant mets. But for Ruth, 16 positive nodes and a chest wall recurrence so soon after completion of therapy was ominous.
With a newborn son, I have to assume Ruth was hoping for more than 10 years, even though we considered 10 years as a major triumph for a disease that had been universally fatal within months, just a few decades earlier. In truth, however, our prognostications were guesswork. Along with her pastor husband, Ruth would clearly be double-checking our estimated prognosis with the Almighty’s prescience, and would be leaning heavily on miracles of God, rather than the miracles of modern medicine.
The family moved away from Oklahoma City shortly after Ruth’s chest wall recurrence in 1996, and she was lost to follow-up even though I wondered about her on many occasions.
I’m going to pause here and give the reader a final chance to guess the outcome…
Now, the follow-up…
One week ago (Jan 2019), Ruth’s medical oncologist and I each received a Friend Request on Facebook. It was from Ruth. 24 years had passed since her diagnosis. Disease free. Her 24 y/o son who had chemo in utero was also perfectly healthy.
Medical miracle – or – Miracle miracle?
As it turned out, it didn’t matter whether our approach was the “blunt truth” or “false hope.” Ruth had her own success firmly arranged all along.